Laser Teeth Whitening / Bleaching
Laser Teeth Whitening
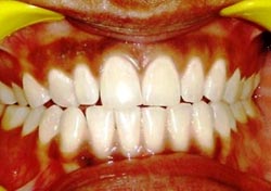
![]() |
![]() |
| Before | After |
“Laser Teeth Whitening is the best way to dramatically whiten your teeth in an hour.”
Laser teeth whitening is the wave of the future (as is laser dentistry, in general). In just one appointment your teeth can lighten anywhere from 5-10 shades.
Lasers were developed for teeth whitening in response to consumer complaints that traditional bleaching was too painful and resulted in inflammation. Lasers, on the other hand, can be focused on a very specific area to avoid these effects.
Laser teeth whitening simply refers to a professional teeth whitening treatment where hydrogen peroxide bleaching gel is applied to your teeth and a whitening accelerator light is directed at the teeth to help achieve maximum whitening results in under an hour.
WHAT CAUSES YELLOW TEETH?
There are numerous types of teeth stains; some are genetic, environmental or pharmacological in nature. The most common are surface stains on the enamel or beneath the enamel in the dentin. Surface stains are caused by foods, beverages and lifestyle behaviors, like smoking. Over time, surface stains may penetrate the enamel and change the colour of the dentin, which darkens the overall appearance of the tooth due to the translucency of the enamel layer. When this occurs, the tooth often appears yellow.
WHAT TEETH WHITENING OPTIONS ARE THERE?
There are many whitening options, from OTC toothpastes, rinses and strips, to professionally supervised solutions such as Zoom in-office and take-home whitening & Laser Whitening.

