• World Class Implant Laser & Digital Dentistry In Ahmedabad

Top 10 Dental Clinic India 

Laser Dentistry Ahmedabad

Laser is one of the latest innovation used in variety of dental treatments

Lasers


Laser Dentist Ahmedabad

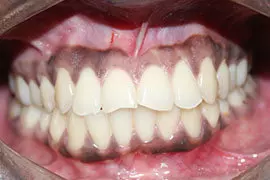
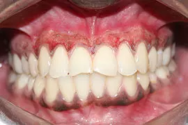
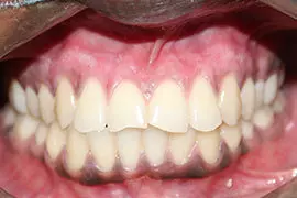
Light Amplification by Stimulated Emission of Radiation or Laser is one of the latest innovation. It [Laser Dentistry] used in variety of dental treatments & procedures like gum surgery, detection of dental caries, for teeth whitening, gum bleaching, for minor and major oral surgeries. Laser Dentist Ahmedabad Dr Prof Viral Patel performs variety of oral laser treatments or laser dentistry at Dental Implant Laser Cosmetic Centre Ahmedabad India.

The main advantages of Laser Dentistry – Dental Laser Treatments are: they are absolutely painless, faster uneventful healing of oral tissues. There is no cut, no bleeding, no post treatment complications & discomfort.

Laser Dentist Ahmedabad IndiaDr Viral Patel DLD [Diploma Laser Dentistry- Germany] uses both hard & soft tissue lasers for dental, oral & extra oral treatments at Dental Implant & Laser Cosmetic Center Ahmedabad. In laser dentistry treatments he uses diode laser, CO2 laser, erbium group of lasers & low level lasers for bio-stimulation of oral & extra oral tissues.

Dr Viral Patel also uses world class kavo dignodent laser which is a unique laser for detection of dental caries & other diagnostic purpose.

Uses Of lasers In dentistry are as follows:

Dental Laser Treatment

  • Sulcular Debridement / Currettage
  • Laser Wound healing
  • Laser Assisted New Attachment Procedure
  • Reduction of Bacteria
  • Laser Detection of Dental caries
  • Laser Root Planing
  • Root canal Treatment
  • TMJ Physiotherapy
  • Laser bio stimulation
  • Laser In Mouth Ulcers

© copyright 2026. All rights reserved