• World Class Implant Laser & Digital Dentistry In Ahmedabad

Top 10 Dental Clinic India 

Cosmetic Dentistry Ahmedabad

One of the most up coming & innovative branch of dental profession

Cosmetic Treatments For Teeth


Cosmetic Dentistry Ahmedabad

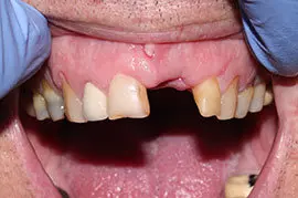
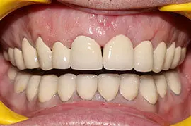
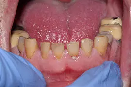
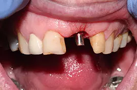
Cosmetic treatments for teeth is one of the most up coming & innovative branch of dental profession which includes application of skills, knowledge, technology & art from a cosmetic dental specialist.

Some of the cosmetic dental procedures or treatments includes smile designing, ceramic & zirconia veneers, metal free crowns like zirconia, allumina, procera etc., direct & indirect composite veneers, teeth whitening or bleaching, smile makeovers, laminates & lumineers, esthetic/cosmetic gum contouring & cosmetic oral surgery.

At Cosmetic Dentistry Ahmedabad, we use diagnostic casts & mock model preparation, computerized designs & use of software, intra oral. We also use extra oral digital SLR with high resolutions with macro lens and ring flash to take precise photos of teeth which help in treatment planning for best cosmetic treatment results.

Dentistry is no longer just a case of filling and taking out teeth. Nowadays many people turn to cosmetic dentistry, or ‘aesthetic dentistry’, as a way of improving their appearance. They do this in the same way like they might use cosmetic surgery or even a new hairstyle. The treatments can be used to straighten, lighten, reshape and repair teeth.

Cosmetic dental procedures include

  • Bleaching to make teeth whiter
  • Repairing chips or rough spots with fillings that match your teeth
  • Filling cavities with tooth-colored materials
  • Reshaping teeth that don’t match the others
  • Closing gaps between teeth
  • Covering broken teeth with porcelain crowns

Since last 150 years standard fillings have been made out of a silvery-grey material which is called as ‘amalgam’. This considered one of the strongest and longest-lasting materials for fillings. However, many people find it unattractive and some are concerned about possible health risks.

In addition, White cosmetic dental fillings are now one of the best alternative to amalgam fillings. The new generation cosmetic dental materials also mean it is much easier to find a perfect match for the shade of a particular tooth. In most cases, it is quite impossible to see that the tooth even has a filling. Some times white filling material is also use to cover unsightly marks on teeth like dental veneers.

© copyright 2026. All rights reserved