• World Class Implant Laser & Digital Dentistry In Ahmedabad

Top 10 Dental Clinic India 

Gum Disease Treatment

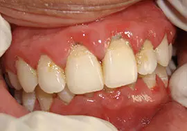
Gum Disease (pyorrhea) also known as Periodontitis or Peiodontal Disease

Gum Disease Treatment


Periodontist Ahmedabad India

Periodontist Ahmedabad Dr Prof Viral Patel specialises in the treatment of two major diseases of oral cavity, gum disease [pyorrhea] also known as periodontitis or peiodontal disease and dental caries [tooth decay]

Gum disease is a painless, symptom less disease and if not treated in time one may loose all the teeth.

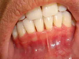
Some symptoms of periodontitis includes bleeding gums, bad breath, increased sensitivity to heat & cold and in later stages pain, swelling, pus discharge & mobility of teeth.

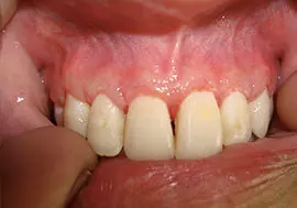
Gum swelling that recurs

bad breath, and a persistent metallic taste in the mouth

Gingival recession, resulting in apparent lengthening of teeth

Deep pockets between the teeth and the gums

Loose teeth, in the later stages

Treatment of Pyorrhea includes cleaning of teeth, Periodontal Flap Surgeries & Other Advanced Procedures Like Bone Grafting & Guided Tissue Regeneration [GTR]

According To National Institute Of Dental And Craniofacial Research And American Heart Association :-

There is also a close co-relation between diabetes, coronary heart disease & periodontal disease.

People suffering from periodontal disease are having high risks of developing heart disease and diabetus.

Periodontitis is a treatable condition cured completely with proper treatment.

In addition, Periodontist Ahmedabad Dr. Viral Patel treats gum disease and tooth decay(periodontal disease) with variety of dental treatments like scaling or cleaning of teeth, deep cleaning, periodontal flap surgery [gum surgery], laser assisted periodontal therapy, bone grafting procedures, guided tissue regeneration [GTR] & more latest modalities like concentrated growth factors & dental stem cell procedures.

Brushing twice daily & proper cleaning is required to prevent recurrence of periodontitis

© copyright 2026. All rights reserved