• World Class Implant Laser & Digital Dentistry In Ahmedabad

Top 10 Dental Clinic In India 

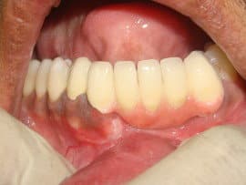
Periodontal Plastic Surgeries

Muco-gingival Surgery

Plastic Surgery


Periodontal Plastic Surgery / Mucogingival Surgery

Periodontal Plastic Surgery consists of major procedures like Frenectomy & Vestibuloplasty, Soft Tissue Grafting, Barrier Membrane Techniques etc.

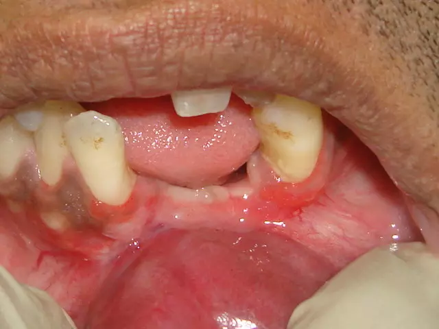
Frenectomy a minor procedure done to remove high frenum, which causes pulling of gum tissue [gingival recession]. High frenum also causes  spacing in between teeth creating cosmetic & functional problems.

Vestibuloplasty is also a similar procedure but intended to remove high attached tissue  to get a good depth.

Recently with use of soft & hard tissue lasers both these procedure have become very easy, bloodless & comfortable to the patient,

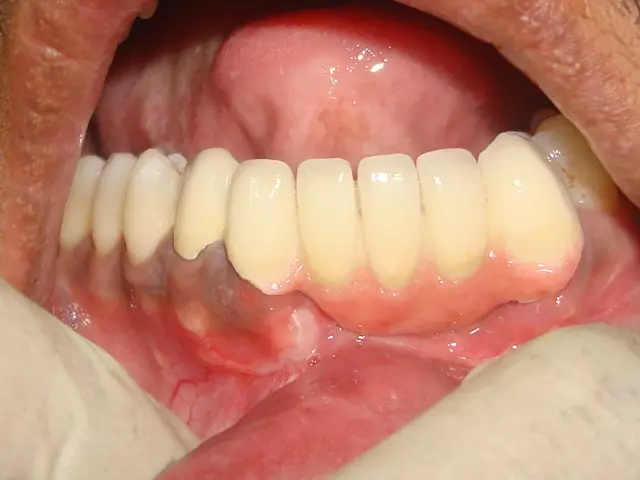
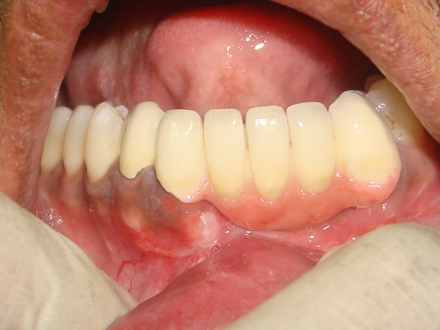
Soft tissue grafts are basically tissue obtained from palatal region under local aneasthesia to cover isolated & also long areas of gingival recessions.

Artificial readily available soft tissue membrane like collagen, alloderm, PLA PGA & Vicryl  can be also used to correct gingival recession.

More Recent & newer advanced techniques include use of growth factors & patient own blood factors like platelet derived growth factors, concentrated growth factors, platelet rich plasma, platelet rich fibrin.

CGF is a substance of patient’s own blood enriched with plasma and platelets & contains various Concentrated Growth Factors [CGF]. These help in reduced bleeding, enhanced & faster healing, decreased inflammation & swelling and accelerated bone & also soft tissue formation.

Best Dentist Ahmedabad

Dr Viral Patel is a highly skilled periodontist, implantologist & laser dentist in ahmedabad india.

Dentist Ahmedabad India, Dr Viral Patel is an eminent Laser Dentist, Periodontist, Dental Implantologist and Oral Surgeon.

He has done more than 20000 successful dental implant surgery in Dental Clinic Ahmedabad. Means you are in experienced hands and u will get best dental treatment.

Dr. Patel is a Dental Surgeon, having more than 22 years of experience in dental surgery with many complex surgery. He  is well kown Dentists in Ahmedabad for all the dental treatments you and your family looking for. Dr Viral Patel’s Dental Centre use world class digital intra oral scanner Medit i500 and 3 Shape Trios 4.

Dental Implant Laser Cosmetic Centre is also certified by Indian Dental Association Gujarat and by Global Clinic Rating [GCR] as one of the top 10 best Dental Clinic in India and 1st Dental Clinic in Ahmedabad and Gujarat.

© copyright 2026. All rights reserved