• World Class Implant Laser & Digital Dentistry In Ahmedabad

Top 10 Dental Clinic India 

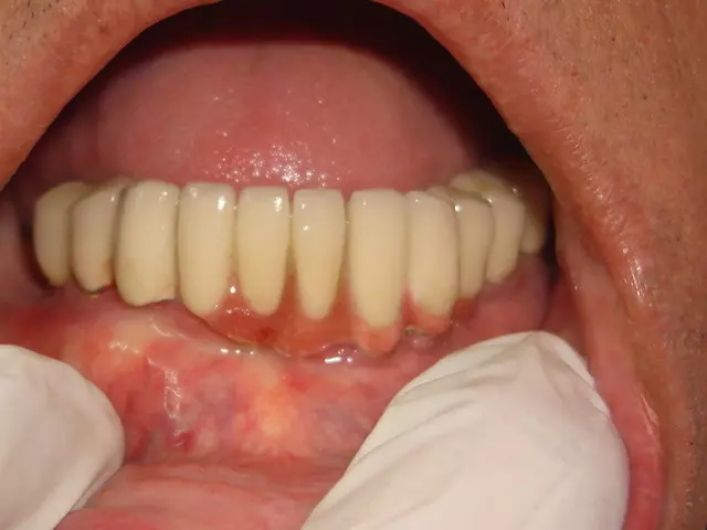
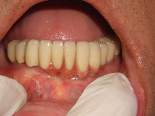
Peri implantitis

A Serious Complication in Implant Dentistry

Peri Implantitis


Peri-implantitis is infection of supporting tissues around dental implants like bone, gingiva & oral mucosa.

It is a very serious complication, and may lead to total failure of implant & other major bone related complications.

Peri-implantitis is not only common, but a serious complication. Implants have the potential to last a patient’s entire life. Peri-implantitis can lead to disintegration and early loss of implant and their supported prosthesis

Success rate of Implants are more than 98%, only if the diagnosis & implant treatment plan are properly implemented. We personally believe that the surgeon having the skill & mastery of treating complications should only attempt the surgery.

The dental implant surgeon should always consider quality and quantity of the bone available, medical considerations like diabetus, bleeding disorders, age of the patient & other systemic factors and also harmful habits like clenching of teeth (BRUXISUM), smoking, chewing tobacco & betel nut before attempting a successful implant procedure.

Even patient insists, the dental implantologist should have courage to say “NO” when implants are not possible.

Peri-implantitis

It can be prevented by proper treatment planning, oral hygiene procedures like brushing cleaning using water irrigation devices.

Treatment of peri-implantitis include antibacterial therapy along with localised cleaning & also dental lasers are useful in treatment of infection around dental implants.

Dr Patel Uses newer design implant which have less chances of getting infection.

Dentist Ahmedabad India, Dr Viral Patel is an eminent Laser Dentist, Periodontist, Dental Implantologist and Oral Surgeon.

He has done more than 20000 successful dental implant surgery in Dental Clinic Ahmedabad. Means you are in experienced hands and u will get best dental treatment.

Dr. Patel is a Dental Surgeon, having more than 22 years of experience in dental surgery with many complex surgery

© copyright 2025. All rights reserved