• World Class Implant Laser & Digital Dentistry In Ahmedabad

Top 10 Dental Clinic India 

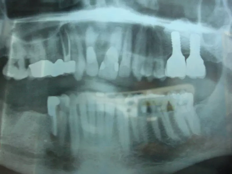
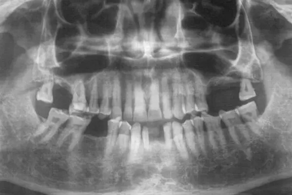
Maxillary Sinus Graft

Nasal Floor Elevation

Sinus Graft


There are two types of sinus graft procedures:

[1] Indirect Sinus floor Elevation with placement of implant

[2] Direct Sinus Graft using modified caldwell luc technique

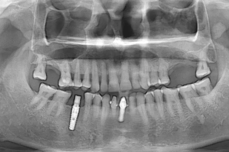
The maxillary sinuses are behind your cheeks and on the top of the upper teeth. Sinuses are like empty rooms that have nothing in them. Some of the roots of the natural upper teeth extend up in to the maxillary sinuses. When the upper teeth removed, there is often just a thin wall of bone separating the maxillary sinus and the mouth. Dental implants need bone to hold them in place. When the sinus wall is thin, it is impossible to place dental implants in this bone.

There is also a solution, its called sinus graft or sinus lift. The specialist or skilled implantologist enters the sinus from where upper teeth used to be. The thin paper like sinus membrane carefully lifted upward and donor bone is inserted into the floor of sinus. After several months of healing, the bone becomes the part of the patient’s jaw and dental implant can be inserted and stabilized in this new sinus bone.

Furthermore, If enough bone between the upper jaw ridge and the bottom of the sinus available to stabilize the implant well, sinus augmentations and implant placement can sometimes be performed as a single procedure. If enough bone is not available sinus augmentation will have to be performed first, then the graft will have to mature for several months, depending upon the type of graft material used. Once the graft material has matured, the implant can be placed.

Best Dentist

Dentist Ahmedabad IndiaDr Viral Patel is an eminent Laser Dentist, Periodontist, Dental Implantologist and Oral Surgeon.

He has done more than 20000 successful dental implant surgery in Dental Clinic Ahmedabad. Means you are in experienced hands and u will get best dental treatment.

Dr. Patel is a Dental Surgeon, having more than 22 years of experience in dental surgery with many complex surgery

© copyright 2025. All rights reserved