• World Class Implant Laser & Digital Dentistry In Ahmedabad

Top 10 Dental Clinic India 

Dental Veneers

Direct & Indirect Laminates

Veneers


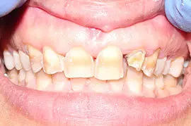
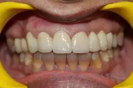
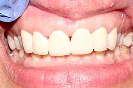
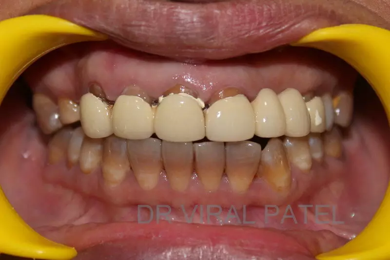
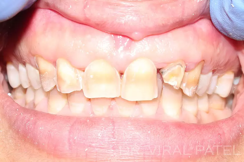
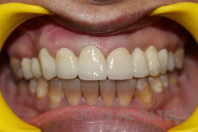
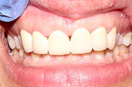
Dental Veneers (sometimes called porcelain veneers or dental porcelain laminates) are wafer-thin, custom-made shells of tooth-coloured materials designed to cover the front surface of teeth to improve your appearance. These shells bonded to the front of the teeth changing their colour, shape, size, or length.

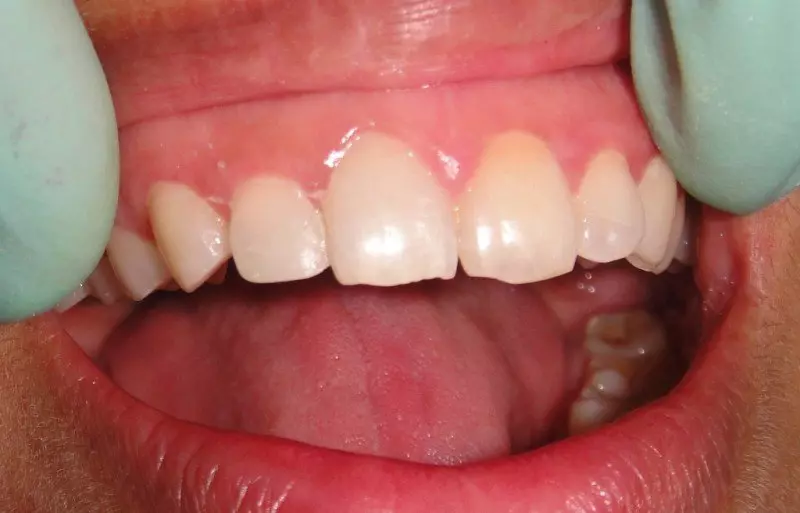
Veneers are thin slices of porcelain. These precisely made to fit over the visible surface of your front teeth, like a false fingernail fits over a nail.

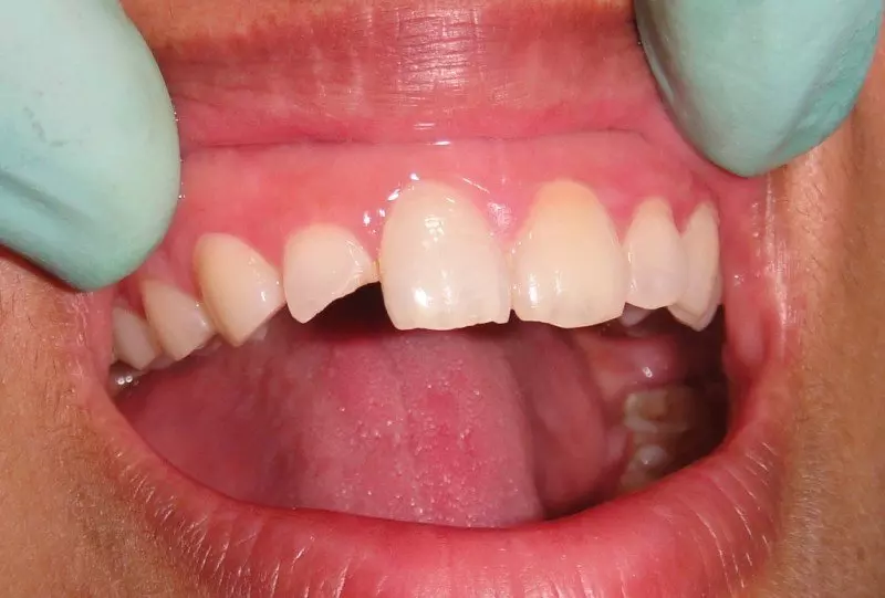
Veneers are an ideal way of treating discoloured or unsightly teeth, closing gaps between front teeth, or repairing chips cracks.

A small amount of enamel removed from the tooth, usually the same thickness as the veneer will be. The dental team take an impression and send it to a dental technician, who makes the veneer in a laboratory. The veneer then bonded to the tooth to form a strong and natural-looking repair.

Dental Veneers

It can be made from porcelain or from resin composite materials. Porcelain veneers resist stains better than resin veneers and better mimic the light reflecting properties of natural teeth. Resin veneers are thinner and require removal of less of the tooth surface before placement.

Dr Viral Patel & team first do a cosmetic screening for the patient taking extra oral & intra oral high resolutions photos graphs at various angles & these are studied and a mock picture is created using a software what will be achieved after smile makeover treatment & then after these treatment plan is executed to get the best smile design.

Dental Veneers made of Porcelain or Ceramic, Acrylic Resin, Composite Resin, Zirconia, Lithium Disilicate etc . Latest innovation in dental veneers is also the use of cad cam technology to fabricate veneers which are very accurate & have excellent cosmetic outcome.

Sometimes white filling material used to cover unsightly marks on teeth, in a similar way to dental veneers.

© copyright 2025. All rights reserved