• World Class Implant Laser & Digital Dentistry In Ahmedabad

Top 10 Dental Clinic In India 

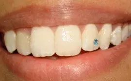
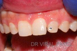
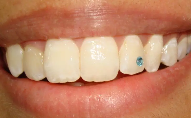
Tooth Diamonds

Jewellery

Diamonds


Tooth Diamond

Tooth Diamond basically crystals bonded to the tooth surface with a specific glue without damaging or grinding tooth enamel.

it is placed to a specific site line angle of front tooth near smile lip line so whenever person speaks a laugh this crystal reflects light and add a sparkle to the smile.

These crystals from Swarovski available in various sizes and colors depending upon individual choice, can be bonded to the tooth adding a dazzle.

Tooth jewellery involves sticking small jewels onto the teeth using dental cement. They should be fitted by a dentist, who can easily remove them if necessary. It is important to keep the area around the jewel clean, as plaque can easily build up around it and you will be more likely to get caries.

It is non-invasive and painless.

Requires no extra maintenance. It can be removed or replaced anytime has no effect on the tooth enamel once the jewel removed or replaced.

Involves a procedure that only takes about 10 – 15 minutes and is 100% reversible.

It is also stain resistant.

Does not obstruct regular brushing even if using an electric toothbrush nor restrict you from visiting your dentist.

Digital dentistry technology offers major advantages over conventional dentistry techniques.  It improves efficiency in dental treatment procedures. Also, Improved accuracy is  a great benefit of using digital technologies. Also, this leads to more precise diagnoses and definitive treatments. It removes wasted time and money that can arise from the routine dental procedures. With these leading-edge technologies in use, dentists can easily foresee the outcome of specific procedure and improve the patient’s virtual experience even before starting the treatment. At Dr Viral Patel’s Dental Centre, we use world class digital intraoral scanner Medit i500 and 3 Shape Trios 4.

© copyright 2026. All rights reserved