• World Class Implant Laser & Digital Dentistry In Ahmedabad

Top 10 Dental Clinic India 

Laser Teeth Whitening

In An Hour

Laser Bleaching


Laser Whitening Ahmedabad

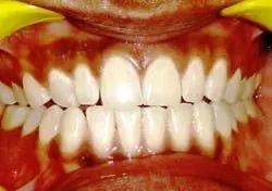
“Laser whitening is the best way to dramatically whiten your teeth in an hour.”

A white bright smile can be a confidence booster and a great way to get notice.

Laser whitening is the wave of the future (as is laser dentistry, in general). In just one appointment your teeth can lighten anywhere from 5-10 shades.

Lasers were introduced for teeth whitening in response to consumer complaints that traditional bleaching was too painful and resulted in inflammation & time consuming. Lasers, on the other hand, can be focused on a very specific area to avoid these effects & save time.

Laser teeth whitening simply refers to a professional teeth whitening treatment. Where hydrogen peroxide bleaching gel applied to your teeth and a whitening accelerator laser light directed at the teeth to help achieve maximum whitening results in under an hour.

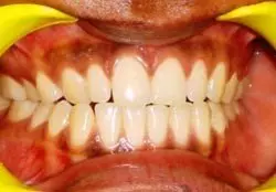
What causes yellow teeth?

There are numerous types of teeth stains, some are genetic, environmental or pharmacological in nature. The most common are surface stains on the enamel or beneath the enamel in the dentin. Stains on surfaces caused by foods, beverages and lifestyle behaviours like smoking. Over the time, surface stains may penetrate the enamel and change the colour of the dentin. Which will darken the overall appearance of the tooth due to the translucency of the enamel layer. The tooth often appears yellow.

What teeth whitening options are there?

There are many whitening options like OTC toothpastes, rinses and strips, to professionally supervised solutions such as Zoom in-office and take-home whitening & Laser Whitening.

At Dr Viral Patel’s Dental Centre, we use world class digital intraoral scanner Medit i500 and 3 Shape Trios 4. Laser dentistry technology offers major advantages over conventional dentistry techniques.

© copyright 2025. All rights reserved