• World Class Implant Laser & Digital Dentistry In Ahmedabad

Top 10 Dental Clinic India 

Computer Guided Dental Implant Surgery

Computer Guided Dental Implants


Computer Guided Implants : The use of surgical templates for dental implant treatment planning and placement represents one of the most innovative  development in implantology.

In order to better control the late discovery of inadequate bone structures, 3 dimentional & cross sectional images are required. Furthermore, They are now the standard level of care.

There are only two ways to acquire these images.

CBCT & CT Scans

The first method uses CBCT [Cone Beam Computed Tomography]. The amount of radiation is very mild compared to a CT scan. Tomograms result in a 60-70 magnification  and are accurate about 60 percent of the time.

The second technique involves the use of CT [Computed Tomography] Studies. This allows a very detailed assessment in three  dimensions.

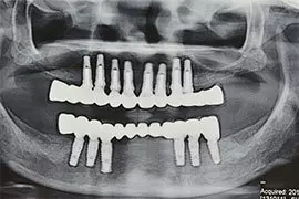
These 3 dimentional raw images run in a deisigning software and a surgical templates prepared with the anticipatory ideal dental implant positions with a cad cam technology. Specialized computer software enables implant surgeons to assess all of the critical areas of the maxillary and mandibular bone structures. The precision imaging helps dentists to not only determine the best possible implant sites but also permit the assessment of need for bone augmentation (grafting) that will optimize predictability ratios.

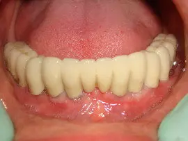
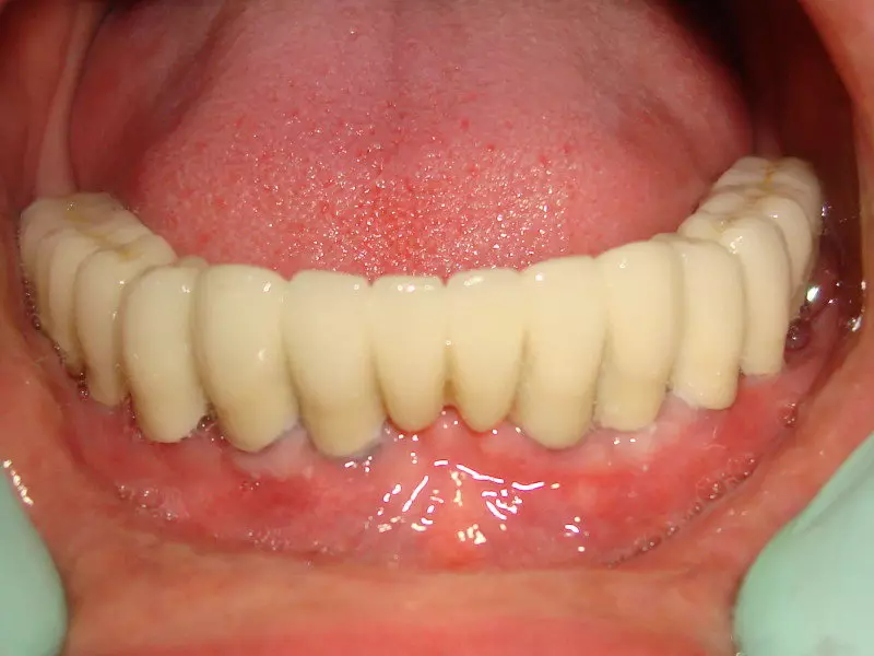
The entire procedure of assessment, treatment planning, selection of implant systems and final prosthesis  planned “virtually” before treatment begins. Patients benefit from being able to visualize, fully, current state of need and final outcome possibilities, based on their choice of restoration components (types of crowns, abutments, shape, color shading, size, etc).

No other dental technology like computer guided implants offers this degree of potential for eliminating “treatment surprises”.

These technology also can be used for designing the CAD CAM prosthesis made on dental implants.

Dentist Ahmedabad IndiaDr Viral Patel is an eminent Laser Dentist, Periodontist, Dental Implantologist and Oral Surgeon.

He has done more than 20000 successful dental implant surgery in Dental Clinic Ahmedabad. Means you are in experienced hands and u will get best dental treatment.

Dr. Patel is a Dental Surgeon, having more than 22 years of experience in dental surgery with many complex surgery

© copyright 2026. All rights reserved