• World Class Implant Laser & Digital Dentistry In Ahmedabad

Top 10 Dental Clinic India 

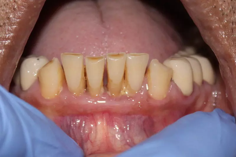
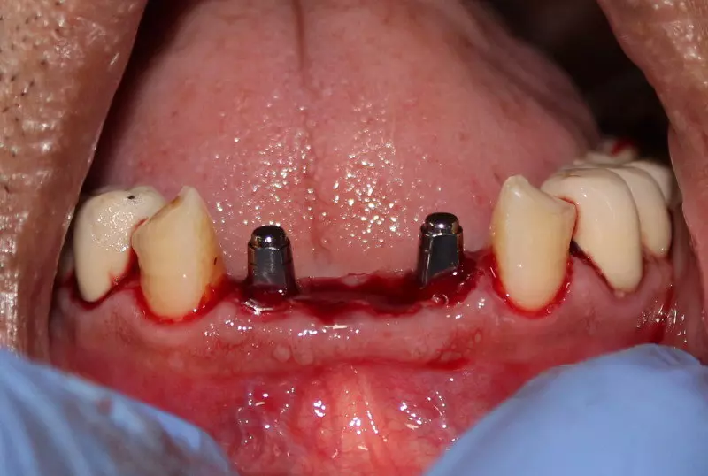
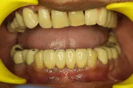
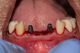
Immediate Dental Implants

Immediate Dental Implants


If the patient’s bone quality and quantity is very good, and during Immediate Dental Implants surgery if dentist gets excellent primary stability of the dental implant, the permanent ceramic tooth [crown] on the dental implant can be given immediately within 10-15 days. This is known as immediate loading of dental implants.

Dental Implants can also be placed at the same time when the tooth is removed, it is the best & most ideal time to place an implant.

Preserving soft and hard tissue once initiating an implant treatment is a crucial goal. The intention of placing immediate implants is to try to preserve tissue contour, dimension and also, decrease treatment time. Nevertheless, immediate implants require a precise treatment planning to achieve successful results.

Advantages of immediate dental implants also include:

  • single stage procedure
  • excellent cosmetic results
  • no loss of bone & gum tissue
  • stitch less procedure
  • patient gets the teeth in same sitting
  • preserves gingiva
  • preserves bone

Some of the important factors in determining in immediate loading:

  • Bone density
  • Amount of bone
  • Initial stability of the implant
  • Shape and type of gum
  • Implant Design & Type
  • Your bite

Furthermore, To achieve a high level of success, it has been suggested that immediate dental implants requires adherence to strict surgical, restorative, and laboratory protocols

Dr. Viral Patel is a preeminent cosmetic Implant  Laser & Digital dentist in Ahmedabad with years of in-depth training in most modern dental technologies.

He has done more than 25000 successful dental implant surgery in Dental Clinic Ahmedabad. Means you are in experienced hands and u will get best dental treatment.

Dr. Patel is a Dental Surgeon, having more than 22 years of experience in dental implant surgery with many complex surgeries.

© copyright 2025. All rights reserved