• World Class Implant Laser & Digital Dentistry In Ahmedabad

Top 10 Dental Clinic India 

Flapless Dental Implants

Stichless Implant Surgeries

Flapless Dental Implants


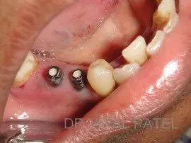
Flap Less Dental Implants is a kind of dental implant surgery in which there is no need to cut & open [reflect] gingival flap [gums] tissue, and dental implant is placed through a small window [hole] in gum [soft tissue].

In a flap less procedure, a dental implant is installed through the mucosal tissues without elevating a flap.

Dr Viral Patel also uses computer guided techniques to place flap less dental implants with a pin point accuracy & within very short time patient can get temporary fixed crowns.

Flap Less Dental Implants

The main advantages are as follows

  • Atraumatic & less invasive procedure
  • Reduced surgical time
  • Minimum Bleeding
  • No need to cut the gum tissues
  • No need to take the stiches [sutures]
  • Incresed patient comfort
  • Immediately after teeth [crowns] can be made
  • Chances of complications & post operative pain are also almost nil
  • Cosmetically also gives best soft tissue results
  • Post operative bone loss is also very minimal
  • Excellent soft tissue – dental implant seal is achieved

Patient also can immediately join the routine

But at the same time it requires very precise surgical technique and only very highly skilled & trained dental implantologist like dr prof viral patel only should attempt flap less or stitch less dental implant surgeries.

© copyright 2026. All rights reserved