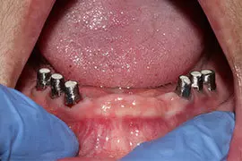
Full Mouth Implants
Full Mouth Implant Reconstruction
It can be also done with latest computer designing technology [CAD CAM] for a precise cosmetic & functional outcome.
One of the best Dentist in Ahmedabad India, Dr Viral Patel specialises in full mouth dental implant surgeries without taking any stiches & immediately within one day fixed teeth are delivered to the patient.
The placement of full mouth implants reconstruction can be done within half an hour. And immediately on the same day temporary fixed teeth given to the patient.
It can also be done with computer guided stent preparation. In these procedure patients ct scans are studied in a special software and the future implant placement is designed through a acrylic based stent prepared by a milling unit. With the help of this stent implants are placed in mouth with a non invasive approach. And immediately pre constructed teeth are given after placing implants.
Dental Implants
Dentist Ahmedabad India, Dr Viral Patel is an eminent Laser Dentist, Periodontist, Dental Implantologist and Oral Surgeon.
Dr Viral Patel has done more than 25000 successful dental implant surgery in Dental Clinic Ahmedabad. Means you are in experienced hands and u will get best dental implants treatment.
Dr. Patel is a Dental Surgeon, having more than 22 years of experience in dental surgery with many complex implant surgery.
He is also a Key Opinion Leader Dentist for Glaxosmithkline [GSK] India, Biomet 3i USA & Dentsply Implants India, Bio3 Dental Implants & Alphadent Dental Implants Germany, Noris Dental Implants & Impact Implants Israel.
Full Mouth Dental Implants
In Ahmedabad by Dr Viral Patel
© copyright 2025. All rights reserved
 
	  	  
	   
 
	   
					 
					 
					