• World Class Implant Laser & Digital Dentistry In Ahmedabad

Top 10 Dental Clinic India 

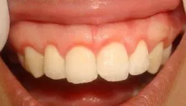
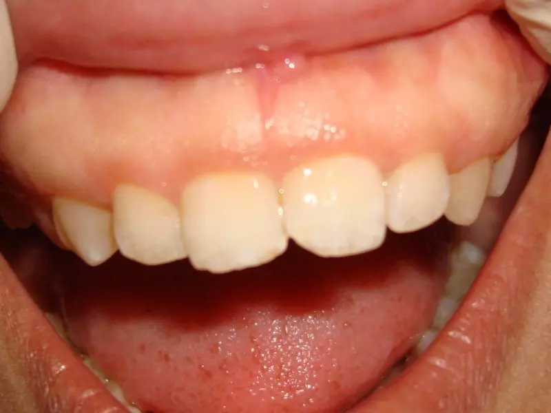
Gummy Smile Correction with Lasers

Gummy Smile Correction


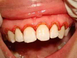
Gummy Smile

Gummy smiles occur for a variety of reasons, most commonly a short upper lip, excessive gum tissue or small teeth, all of which are genetic.

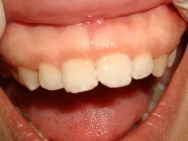
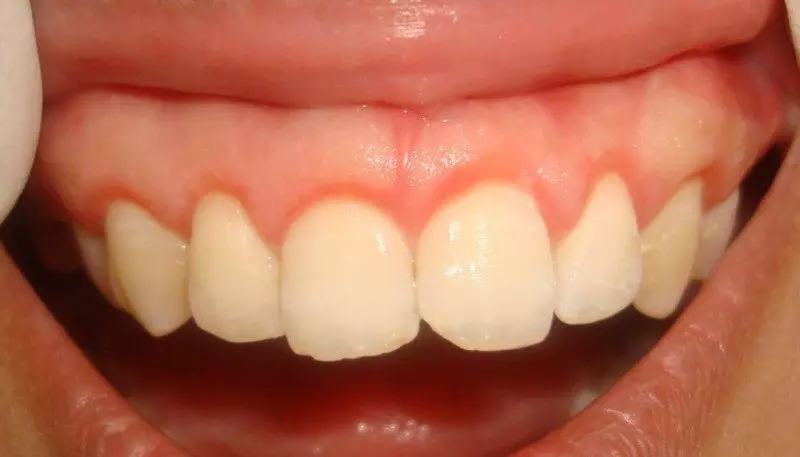
Ideal smiles show up only to about two millimeters of gum. “Anything over three to four millimeters of gum showing starts to look ‘gummy,

In the past, patients who were troubled with “gummy” smiles could have the prominence of their gums reduced with a scalpel, which could cause bleeding and an uncomfortable recovery. Now, with the advent of laser dentistry technology, and tools such as the diode laser, patients can have their gums sculpted to perfectly accent their smiles in a fast, simple, and virtually painless procedure.

Oral Lasers are very useful in correction of gummy smile,  with diode lasers oversized gums are shaped & contoured to achieve excellent smile line, visibility of teeth is also improved with this procedure.

We have both soft & hard tissue lasers used for painless bloodless gingival contouring and other oral plastic surgery procedures to achieve best possible result & comfort to the patient.

Following are the advantages of laser gum treatment :-

  • Painless Procedure
  • Less Bleeding
  • No Sutures [stiches] required
  • No Cut or Reflection of soft tisuue
  • Less trauma [injury] to tisuue
  • Reduced risk of infection
  • Decreased Sensitivity
  • Less procedure time
  • Less Post Treatment discomfort
  • Faster Healing
  • Biostimulation of tissues

© copyright 2026. All rights reserved