• World Class Implant Laser & Digital Dentistry In Ahmedabad

Top 10 Dental Clinic India 

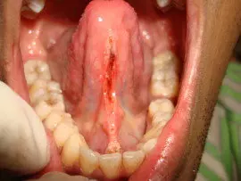
Tongue Tie Surgery

With Lasers

Tongue Tie


Tongue Tie

Tongue Tie also known as Ankyloglossia is a high muscle attachment of tongue & floor of the mouth with the back [lingual] surface of gingiva of lower front teeth mainly incisors.

Due to this high attachments patient has difficulties in speaking, eating, breast feeding in children as tongue can’t come out. It also can not touch the upper palate and all tongue movements are restricted.

This problem can also affect the social status of the individual due to Alterations in speech resulting in low confidence, but it can be corrected very easily with lasers.

Laser Dentist Dr Viral Patel Uses state of art laser to remove the high lingual frenum attachment without any bleeding & pain in few minutes only.

Soft & Hard Tissue Lasers are also ideal for these kind of conditions, it is so comfortable and painless that u can immediately join your day to day routine as there is no post operative complications & discomfort.

Following are the advantages of laser gum treatment :-

  • Painless Procedure
  • Less or Minimal Bleeding
  • No Sutures [stiches] required
  • No Cut or Reflection of soft tisuue
  • Less trauma [injury] to tisuue
  • Reduced risk of infection
  • Decreased Sensitivity
  • Less procedure time
  • Less Post Treatment discomfort
  • Faster and unevenful Healing

© copyright 2026. All rights reserved