• World Class Implant Laser & Digital Dentistry In Ahmedabad

Top 10 Dental Clinic India 

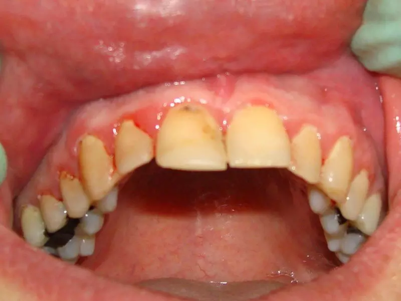
Laser Assisted Periodontal Therapy

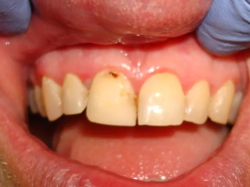
Laser Gum Surgery

Laser Flap Surgery


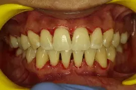
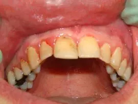
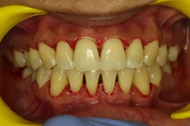
Gum Surgery

The laser surgery is an effective procedure for improving overall dental health with less pain, less bleeding, less swelling, less tissue removal, and less recovery time than traditional gum surgery or periodontal treatment. You don’t have to worry about bleeding, stitches or post-treatment infection, because your gums haven’t been cut. You will also enjoy fewer follow-up visits and less time in the dentist chair.

The way to repair the damage from gum disease is to get rid of the infection and close up the infected pockets between the gum and teeth. LANAP is a minimally-invasive alternative to traditional gum surgery. It uses a digital dental laser to remove harmful bacteria and diseased tissue from the gum pocket by passing a laser light between the gum and tooth.

laser flap surgery is a single sitting painless, bloodless & stitchless procedure which is very comfortable to the patient as compared to the conventional periodontal flap surgeries.

Furthermore, immediately after the procedure patient won’t be able to make out that some kind of dental surgeries have been done.

Advantages of laser gum treatment :-

  • Painless Procedure
  • Less Bleeding
  • No Sutures [stiches] required
  • No Cut or Reflection of soft tisuue
  • Less trauma [injury] to tisuue
  • Reduced risk of infection
  • Decreased Sensitivity
  • Less procedure time
  • Less Post Treatment discomfort
  • Faster Healing
  • Biostimulation of tissues

© copyright 2026. All rights reserved